Unlock Possibilities
Save Your Natural Tooth. No Surgery. No Crowns.
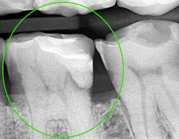
Were you told a cavity is too deep to fix? Using Microscopic Deep Margin Elevation and Dual-Laser Technology, we preserve your natural tooth structure and avoid aggressive extractions.
Don’t Cut the Gum. Elevate the Tooth.
Traditional dentistry often requires painful surgery (Crown Lengthening) to reach decay below the gumline. Our DME Protocol is a non-surgical alternative. We “elevate” the floor of your cavity using bioactive materials, keeping your tooth intact and your gums health
The Benefits:
Exceptional Dentistry Services at Richmond Dental Spa
Explore a wide range of services tailored to your needs.

Surgical Microscope (20x Precision)
At Richmond Dental Spa, We see what others miss. Microscopic accuracy ensures a perfect, bacteria-proof seal that prevents future decay.

Dual-Wavelength Laser (Er:YAG + Nd:YAG)2
We use Fotona: Er:YAG to gently reach deep lesions and Nd:YAG to sterilize the area and ensure a perfectly dry field for bonding.

Green CBCT (Ultra-Low Radiation)
At Richmond Dental Spa, High-definition 3D mapping with 70% less radiation than standard CT scans. Safe, fast, and incredibly accurate.
Exceptional Dentistry Services at Richmond Dental Spa
Explore a wide range of services tailored to your needs.

No Temporary Crowns. No Messy Putty.
Using our Intraoral Digital Scanner and In-House Milling, we design and create your high-strength ceramic restoration while you wait.
Digital 3D Scan (No gagging)
Precision Milling (Same-day final)
Bioactive Bonding (Heals the tooth))

Biocompatible. Bioactive. Biological.
We use Bioactive restorative materials that release essential minerals (Calcium and Phosphate) back into your tooth.
This doesn’t just “fill” the hole—it helps the tooth structure regenerate and stay strong.

Intraoral Digital Scanner
Our Intraoral Digital Scanner replaces the dreaded “messy putty” with a fast, high-definition 3D camera. This technology ensures a gag-free experience while capturing an incredibly accurate map of your teeth in seconds.
Comparison Table (DME vs. Traditional Crown)
Find the Difference

(DME vs. Traditional Crown)
Our DME Approach:
Healthy Tooth Kept: 90% – 100%
Gum Surgery Needed: None
Number of Visits: Single Visit
Long Term Health: Mimics Nature

DME & Biological Crown
Long Term Health: Mimics Nature

Traditional Crown
Healthy Tooth Kept: 30%
Gum Surgery Needed: Often Required
Number of Visits: 2-3 Weeks
Long Term Health: Risks “Black Triangle” Gums
Meet Your Experts
Dr. Firas Albadran (Dr. A) lived in cross-cultural environments, He is comfortable with people of different cultures and sensitive to their needs and expectations.
He aims to provide exceptional dental work using state of art technology to give out the best smile for his patients.
His passion for dentistry is the main driving force to succeed. To be able to serve his patients in the best way that they deserve gives him the feeling of happiness and satisfaction. Hearing good feedback from them and expressing their gratitude for the treatment that they received, knowing that what he does has value to others gives him a sense of purpose in life.
Member of American Dental Association.
Member of Virginia Dental Association.
Member of Richmond Dental Society.
Member of American Academy of Facial Esthetics.
Member of American Academy of Laser Dentistry.

“Trusted by 500+ local customers.”
Posted on shalivia strongTrustindex verifies that the original source of the review is Google. Dr.A and Linet are wonderful. They made me feel very comfortable and safe. I recommend this dentist office. Very clean and top notch equipment.Posted on Philip UntalanTrustindex verifies that the original source of the review is Google. Dr. A is amazing!!!! i havent seen a dentist in a while coz the last time i saw a dentist; the last dentist i had sort of traumatized me. however, dr. A was very gentle and explained what i had to do. i had some deep cleaning done. i really felt he tried to save my teeth, instead of taking the easy way of extracting some of them. i am very happy with the dental service and i would come back again (yup, i already have ny next schedule). thats why i gave this dental clinic 5 stars.Posted on Full MetalTrustindex verifies that the original source of the review is Google. I love Dr Albadran and Lynette. They were friendly and very good at what they do. Dr. Albadran explained everything to me really well. I have been to so many dentists, and I am staying with him until he says hes gonna retire hahaha. I recommend this dental clinic to anyone who likes an authentic doctor who wouldnt recommend bogus treatments just to make money; trust me I've been to that type of dentist before.Posted on Dawood Shah KhalilzadTrustindex verifies that the original source of the review is Google. I done my deep cleaning today and the service was super and had complementary whitening trays..Posted on DTrustindex verifies that the original source of the review is Google. Professional, friendly dental staff! Every time I go into RVA Dental Spa I always love the results they provide. Glad I found this dental office.Posted on Gigi e RebecaTrustindex verifies that the original source of the review is Google. The Doctor and team amazing.Load more
Contact us now to proceed
You can fill the form below and our friendly front desk will contact you soon.
Richmond Dental Spa
9305 Quioccasin Rd # A, Richmond, VA 23229
Our staff is bilingual and ready to assist you in English or Spanish.
Stay Connected with Us
Let’s Create Together
Connect with us to explore how we can make your vision a reality. Join us in shaping the future.